Skip Menu
Continue
  • 10 Cedar Swamp Road,
  • Suite 2,
  • Glen Cove, NY 11542
  • Home
  • About
    • Our Office
    • New Patients
    • Smile Gallery
    • Dental Videos
    • Reviews
    • FAQ
  • Social
  • Meet Our Doctor
    • Arthur Isakov, DDS
  • Services
      • All on 4®
      • Ceramic Crowns
      • Dental Bridges
      • Dental Fillings
      • Dentures
      • Digital Radiography
      • Emergency Treatment
      • Extractions
      • Implant Dentistry
      • Invisalign®
      • Night Guards
      • Oral Cancer Screening
      • Oral Exams
      • Pediatric Dentistry
      • Periodontal Treatment
      • Preventive Program
      • Root Canals
      • Smile Makeovers
      • Sports Mouthguards
      • Teeth Whitening
      • Veneers
    • View All
  • Specials
  • Dental Health
  • Contact
    • Contact Us
    • Request Appointment

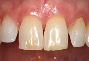
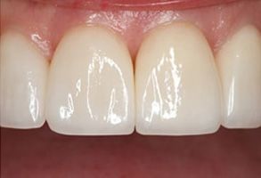
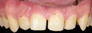
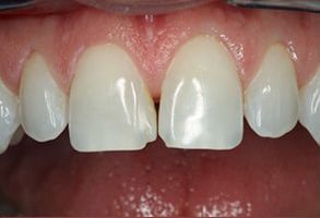
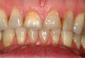
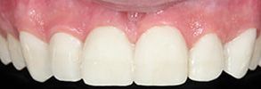
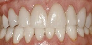
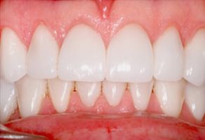
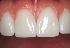
Smile Gallery

Additional Information

Our Location

10 Cedar Swamp Road
Suite 2
Glen Cove, NY 11542
(516) 399-4243
nydentalconcepts@gmail.com

Follow Us